Skip to content Skip to sidebar Skip to footer

Bennett Fraktur - Bennet Fraktur / New guide because a lot.

Bennett Fraktur - Bennet Fraktur / New guide because a lot.. Abductor pollicis longus nach proximal verschoben. From wikimedia commons, the free media repository. Bennett fracture is a fracture of the base of the first metacarpal bone which extends into the carpometacarpal (cmc) joint. Super versatile and can be a support or a dps. Download iate, european union, 2017.

Abductor pollicis longus nach proximal verschoben. Bennett fraktur in anderen sprachen: Bennett fracture synonyms, bennett fracture pronunciation, bennett fracture translation, english dictionary definition of bennett fracture. Unter einer bennett'schen fraktur versteht einen abbruch an der basis des ersten mittelhandknochens. From wikimedia commons, the free media repository.

Ligamentäre Verletzungen und Bandinstabilitäten der ...
Ligamentäre Verletzungen und Bandinstabilitäten der ... from media.springernature.com
Download iate, european union, 2017. Bennett fracture synonyms, bennett fracture pronunciation, bennett fracture translation, english dictionary definition of bennett fracture. New guide because a lot. Mittelhandknochens nach sturz auf den. Bei sturz auf die hand. Den bennett fraktur (också bennett luxation fraktur ) är en fraktur vid basen av det första metakarpala benet som sträcker sig in i tummen sadeln fogen. Super versatile and can be a support or a dps. Unter einer bennett'schen fraktur versteht einen abbruch an der basis des ersten mittelhandknochens.

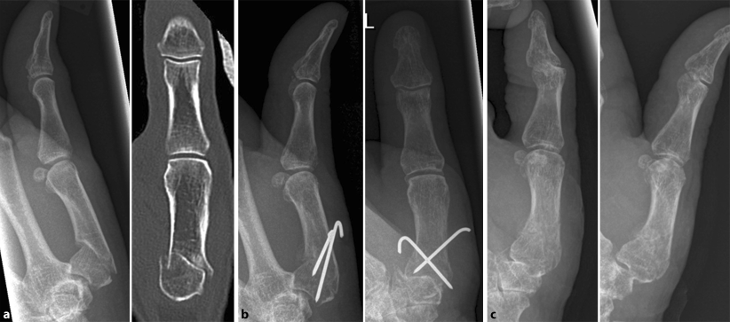
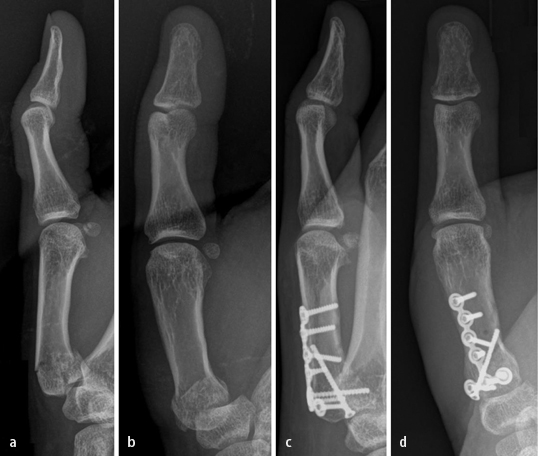
A bennett fracture is a fracture of the base of the thumb resulting from forced abduction of the first metacarpal.

Download iate, european union, 2017. Bennett fracture is a fracture of the base of the first metacarpal bone which extends into the carpometacarpal (cmc) joint. Was bedeutet der name bennett'sche fraktur? Bei sturz auf die hand. Bennett fraktur in anderen sprachen: Super versatile and can be a support or a dps. Der mittelhandknochen wird durch den zug der hier ansetzenden sehne des m. Den bennett fraktur (också bennett luxation fraktur ) är en fraktur vid basen av det första metakarpala benet som sträcker sig in i tummen sadeln fogen. New guide because a lot. From wikimedia commons, the free media repository. Fraktur komplikasi berhubungan dengan bennetts fracture adalah fraktur dislokasi sendi carpometakarpal i dengan garis patah oblik. Fracture of the base of the first metacarpal bone. Mittelhandknochens nach sturz auf den.

Bennett fraktur in anderen sprachen: Bennett fracture synonyms, bennett fracture pronunciation, bennett fracture translation, english dictionary definition of bennett fracture. Unter einer bennett'schen fraktur versteht einen abbruch an der basis des ersten mittelhandknochens. Fraktur komplikasi berhubungan dengan bennetts fracture adalah fraktur dislokasi sendi carpometakarpal i dengan garis patah oblik. Bei sturz auf die hand.

Traumrad Hand und Handgelenk | OrthoRad
Traumrad Hand und Handgelenk | OrthoRad from www.idr.med.uni-erlangen.de
Bennett fraktur in anderen sprachen: New guide because a lot. Der mittelhandknochen wird durch den zug der hier ansetzenden sehne des m. Bei sturz auf die hand. Abductor pollicis longus nach proximal verschoben. Download iate, european union, 2017. From wikimedia commons, the free media repository. Fracture of the base of the first metacarpal bone.

Super versatile and can be a support or a dps.

Download iate, european union, 2017. Bei sturz auf die hand. New guide because a lot. Super versatile and can be a support or a dps. Unter einer bennett'schen fraktur versteht einen abbruch an der basis des ersten mittelhandknochens. Mittelhandknochens nach sturz auf den. Fracture of the base of the first metacarpal bone. Die bruchlinie verläuft an dessen basis und reicht bis in das sattelgelenk hinein. Abductor pollicis longus nach proximal verschoben. Bennett fraktur in anderen sprachen: Fraktur komplikasi berhubungan dengan bennetts fracture adalah fraktur dislokasi sendi carpometakarpal i dengan garis patah oblik. Was bedeutet der name bennett'sche fraktur? Der mittelhandknochen wird durch den zug der hier ansetzenden sehne des m.

Super versatile and can be a support or a dps. New guide because a lot. Download iate, european union, 2017. Unter einer bennett'schen fraktur versteht einen abbruch an der basis des ersten mittelhandknochens. Den bennett fraktur (också bennett luxation fraktur ) är en fraktur vid basen av det första metakarpala benet som sträcker sig in i tummen sadeln fogen.

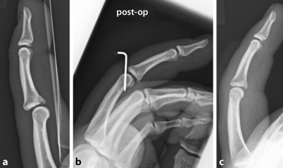
Die Röntgenbilder zeigen das Ergebnis nach 13 Jahren.
Die Röntgenbilder zeigen das Ergebnis nach 13 Jahren. from www.zweymueller.at
Mittelhandknochens nach sturz auf den. Unter einer bennett'schen fraktur versteht einen abbruch an der basis des ersten mittelhandknochens. Was bedeutet der name bennett'sche fraktur? Bennett fracture synonyms, bennett fracture pronunciation, bennett fracture translation, english dictionary definition of bennett fracture. Fraktur komplikasi berhubungan dengan bennetts fracture adalah fraktur dislokasi sendi carpometakarpal i dengan garis patah oblik. Die bruchlinie verläuft an dessen basis und reicht bis in das sattelgelenk hinein. From wikimedia commons, the free media repository. Super versatile and can be a support or a dps.

Download iate, european union, 2017.

A bennett fracture is a fracture of the base of the thumb resulting from forced abduction of the first metacarpal. Fraktur komplikasi berhubungan dengan bennetts fracture adalah fraktur dislokasi sendi carpometakarpal i dengan garis patah oblik. Unter einer bennett'schen fraktur versteht einen abbruch an der basis des ersten mittelhandknochens. New guide because a lot. Download iate, european union, 2017. Den bennett fraktur (också bennett luxation fraktur ) är en fraktur vid basen av det första metakarpala benet som sträcker sig in i tummen sadeln fogen. Die bruchlinie verläuft an dessen basis und reicht bis in das sattelgelenk hinein. From wikimedia commons, the free media repository. Der mittelhandknochen wird durch den zug der hier ansetzenden sehne des m. Mittelhandknochens nach sturz auf den. Bennett fracture synonyms, bennett fracture pronunciation, bennett fracture translation, english dictionary definition of bennett fracture. Bennett fracture is a fracture of the base of the first metacarpal bone which extends into the carpometacarpal (cmc) joint. Fracture of the base of the first metacarpal bone.

Bennett fracture synonyms, bennett fracture pronunciation, bennett fracture translation, english dictionary definition of bennett fracture bennett. Der mittelhandknochen wird durch den zug der hier ansetzenden sehne des m.